前段时间在口腔诊所洗牙
遇见一个过来补牙的朋友
医生告知部分牙齿需修复,然后说明价格。
朋友疑惑:为何补牙收费差异大?

一、你的牙齿可能已经到深龋,需要做根管治疗了。
龋齿就是我们俗话说的蛀牙或者虫牙,形成的主要原因就是不注意口腔卫生,比如:刷牙不规范、不爱漱口、不使用牙线等等。
还有就是口腔情况比较复杂牙齿,参差不齐不易清洁,容易滞留食物残渣等,都会使细菌在口腔内分解产生有机酸,导致牙齿硬组织脱钙、软化、破坏,最终形成龋洞。

龋齿通常分为浅龋、中龋和深龋三类。若在浅龋、中龋阶段及时干预修复,不仅诊疗过程更温和,也更利于维护口腔健康。
若龋齿发展至深龋甚至引发牙髓炎,仅靠简单修复已无法解决,需通过根管治疗等规范诊疗方式处理,诊疗流程会更复杂。预防龋齿,日常应重视口腔卫生,做好口腔护理。

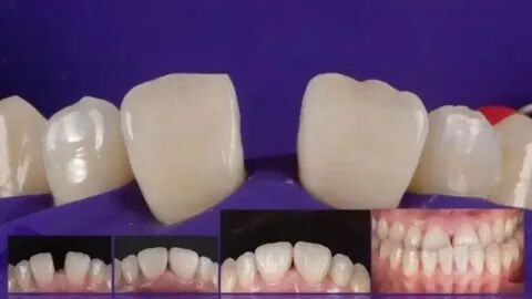
二、你的牙可能需要美学修复,而不是简单的补牙


1.材料选择不同

树脂修复(含美学导向修复与常规修复)均为牙体缺损的常见修复方式,核心目的是修复缺损、恢复牙齿功能,两者在材料选择上存在差异: 常规树脂修复多采用单色复合树脂材料,材料颜色力求贴合天然牙;美学导向的树脂修复则会搭配适配牙本质、牙釉质及牙齿切端等不同部位的系列材料,通过调整材料的饱和度、透明度,模拟天然牙不同层面的色泽,追求更贴合天然牙的视觉效果。

2.操作流程存在差异

常规树脂修复多采用单一材料进行充填,操作流程相对简洁;美学导向的树脂修复则需结合牙体缺损的具体部位、形态,选择适配的系列材料,通过分层分次充填、个性化塑形及精细抛光完成操作。
若牙体缺损面积较大或对修复的视觉效果有更高需求,还可能需要增加取模、制作导板等辅助步骤,以保证修复体和牙齿贴合,不过最终的修复状态还要结合个人牙齿基础情况来看。

三、补牙材料不同,价格可能存在差异
银汞合金

银汞合金是一种传统的补牙材料。
价格:相对亲民,单颗价格大致在几十元区间;
特点:强度较高,耐磨性、耐腐蚀性较好;
注意:色泽与天然牙存在差异,美观度适配性因人而异,部分人群可能对其成分敏感,需在医生评估后选择。

玻璃离子

玻璃离子是一类常用的补牙材料。
价格:单颗价格大致在 50-200 元区间;
特点:是一种可缓慢释放氟离子,有一定的防龋作用,而且是对牙齿有一定的保护作用的材料;
注意:在抗压能力、硬度和磨损上稍微逊色一筹。

复合树脂

复合树脂可以使材料和牙体组织产生化学上的结合。
价格:单颗价格大致在 200-500 元区间;
特点:在符合临床适应症的前提下,可实现少磨牙或不磨牙修复,材料颜色与天然牙适配度较高,能满足基础美观需求;
注意:坚固性稍弱。

纳米树脂

纳米树脂填料颗粒能够达到纳米级别,具有半透明性。
价格:单颗价格大致在 200-1000 元区间;
特点:材料透明度与天然牙适配度较好,硬度及耐磨性需结合产品类型综合判断,修复后视觉效果更贴合天然牙质感;
注意:价格相对较高。

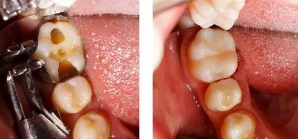
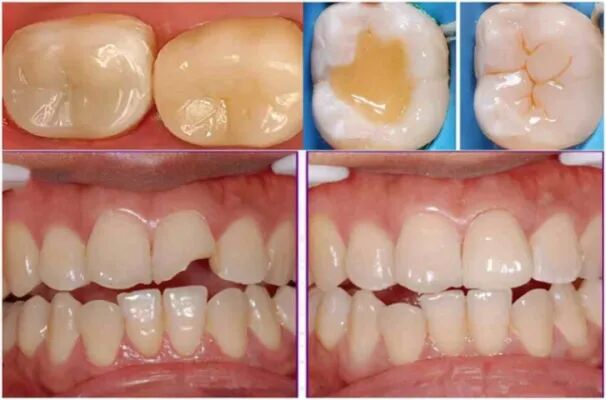
四、你的牙洞过大,普通的补牙已经没法解决
如果牙齿损坏后拖延的时间太久但未伤及神经,或者是损伤范围比较大,常规补牙方式可能难以满足修复需求的时候一般会考虑嵌体修复的方式来解决。
什么是嵌体修复?

嵌体修复是口腔修复的一种方式,其制作流程为:先在口内取模,再由技师在口外石膏模型上定制制作,最后由医生将修复体戴入患者口中并粘固完成,与传统修复方式的核心区别在于制作场景的差异。
价格:单颗价格大致在 500-5000 元区间;
特点:全瓷嵌体是目前临床常用的类型,其制作遵循临床规范,与牙体组织的适配度较好,修复后视觉效果和使用稳定性需结合个体情况综合判断。
注意:嵌体修复的费用相对偏高。进口嵌体比国产嵌体的价格要高,所以差异比较大。

一般情况下,牙体缺损面积较小的情况,可选择常规补牙方式修复;若牙齿缺损较大或咬合面受损范围较广,常规补牙难以满足修复与保护需求时,可考虑高嵌体修复,通过部分或全部覆盖咬合面,保护剩余牙体组织。
高嵌体修复的特点是与牙体组织适配度较好,对牙龈的刺激性相对温和,修复后有助于日常口腔清洁维护,其制作工艺与材料选择有特定临床标准。该修复方式的价格通常高于常规补牙,主要与制作复杂度、材料特性等因素相关。
临沂铂菲克口腔提醒您:牙体出现缺损或龋齿时,建议尽早咨询口腔医生进行科学干预,早期干预有助于减少损伤进一步发展,更利于口腔健康维护。
补牙的费用需结合牙体缺损程度、材料选择、临床诊疗方案等因素综合判断,常规基础修复的价格区间仅供参考,具体需以医生评估后为准。 此外,补牙后遵循医嘱定期复查,有助于保障修复效果及整体口腔健康。
健康科普仅供参考,不提供具体诊疗建议,如有需要请线下就医问诊
文章图片来源于网络,仅作分享,旨在让更多人了解口腔健康知识。如有侵权,联系我们会在第一时间删除