
补牙不光是技术活
更是一门艺术活
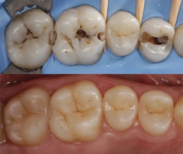
技术好的医生补出来的牙
看起来就和真牙无异
而拙劣的补牙
那就只是把洞堵上
根本就不叫补牙

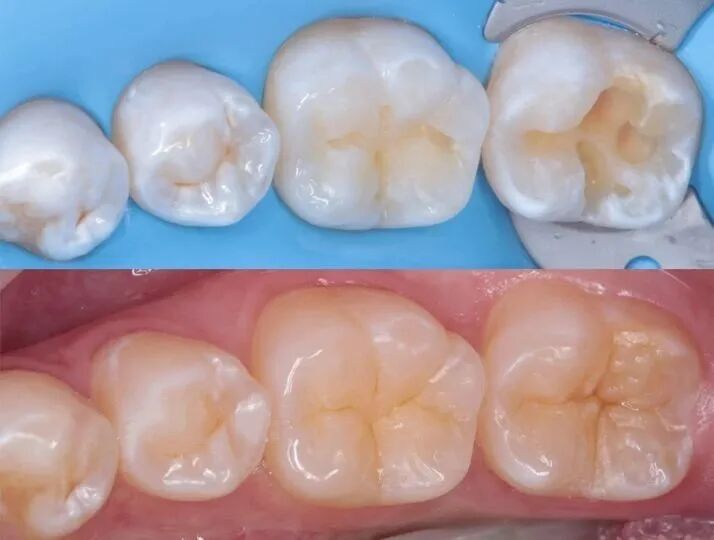
一起来看看真假功夫效果吧

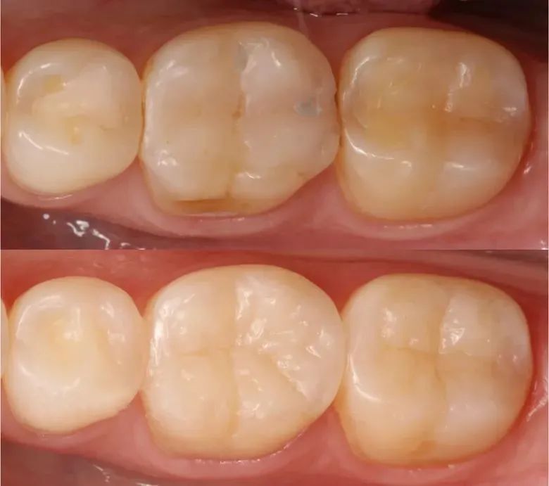
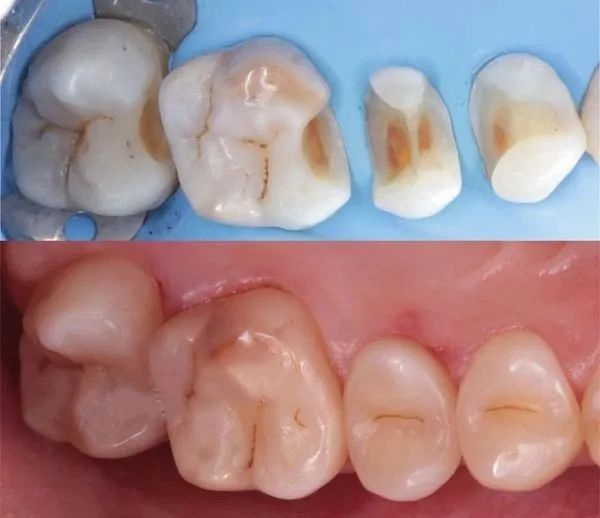
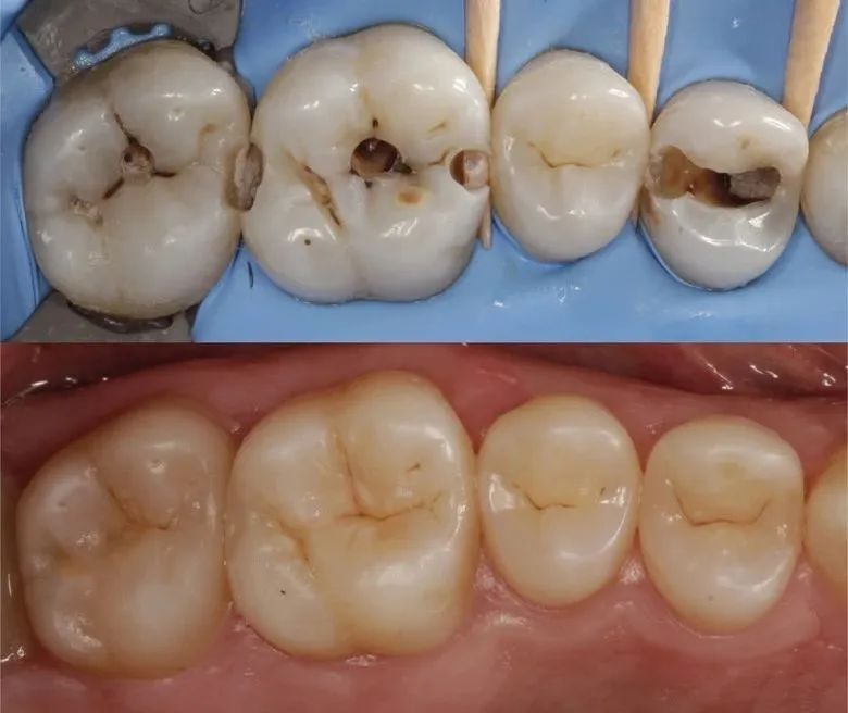
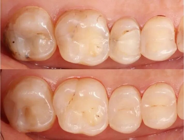
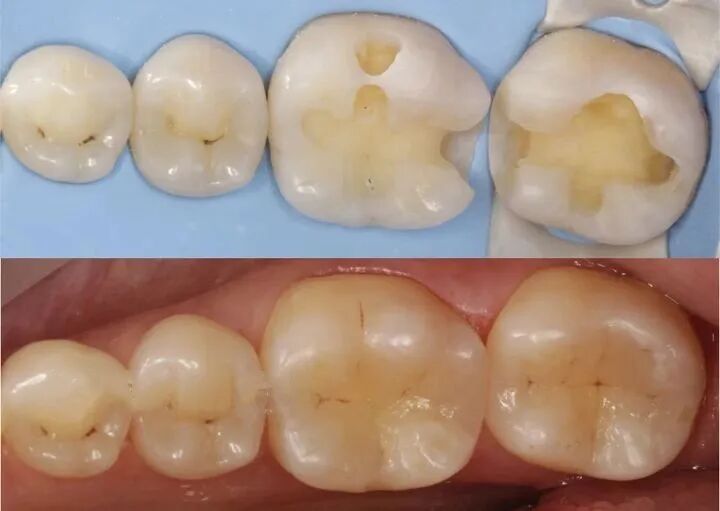
上图1颗星 下图五颗星

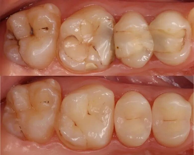
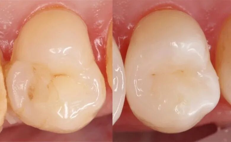
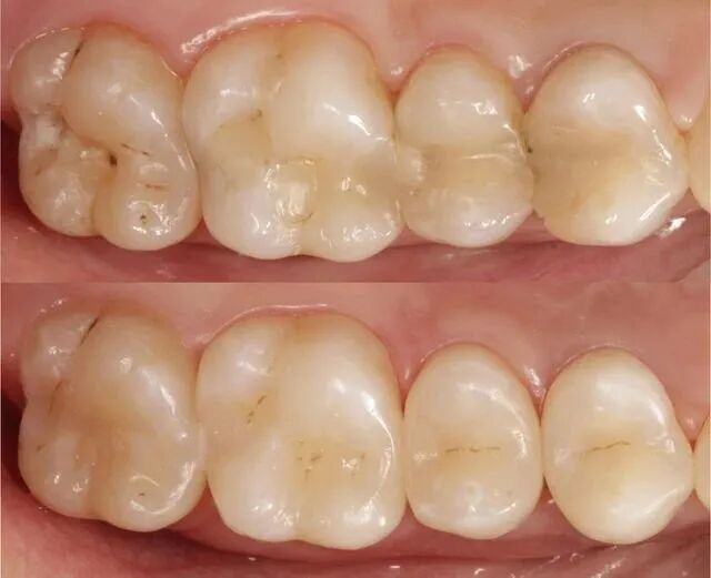
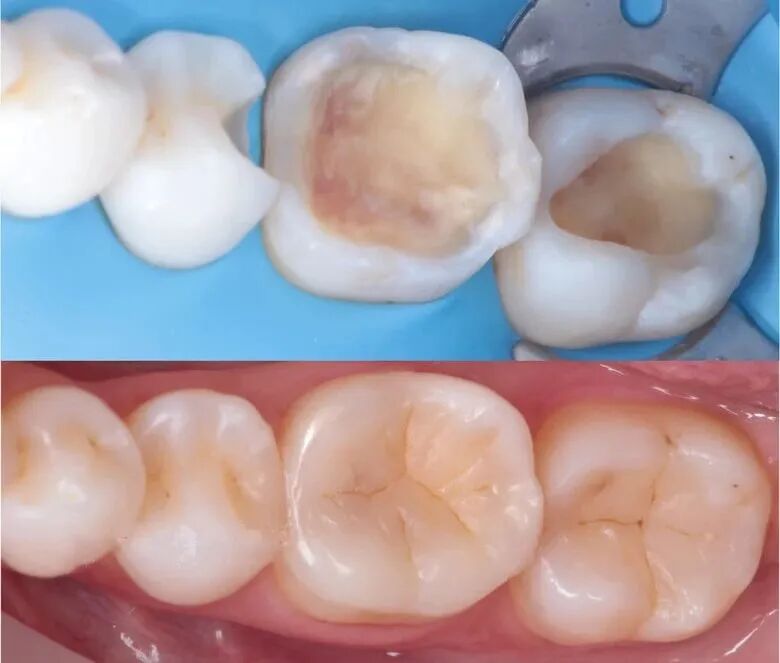
这一组还可吧

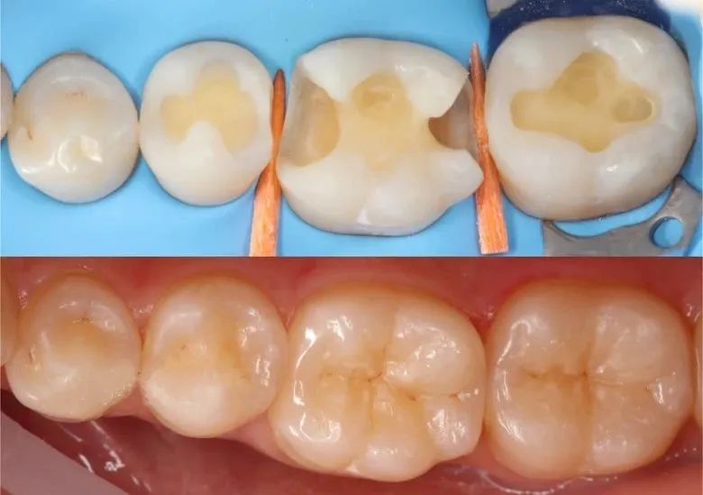
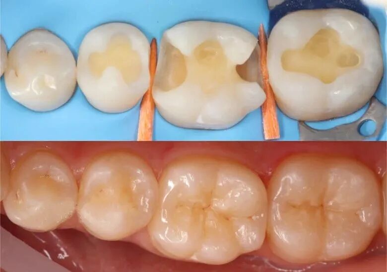
下面的图真的补的很美

基本看不出是补的

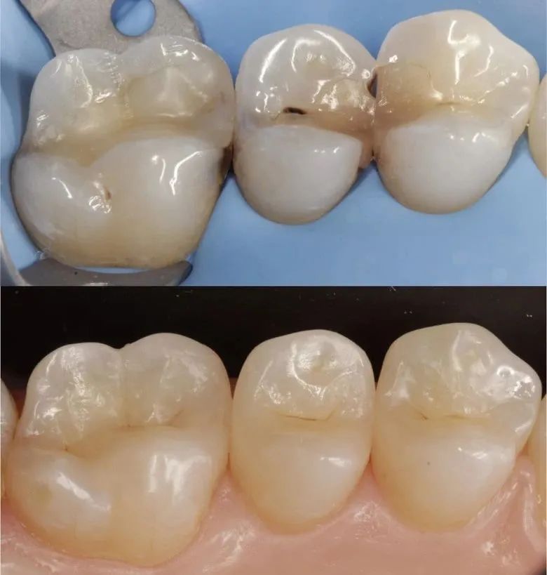
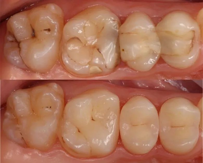
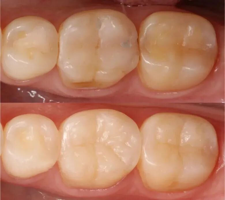
上下差异好明显

天壤之别

天壤之别

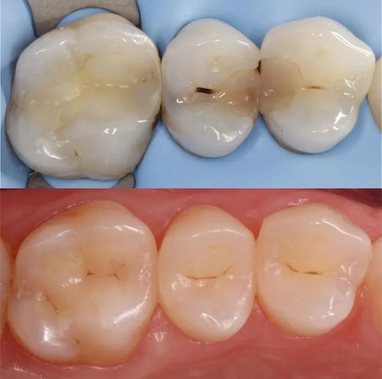
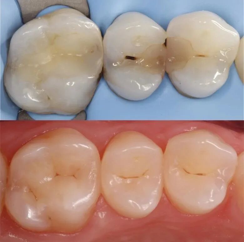
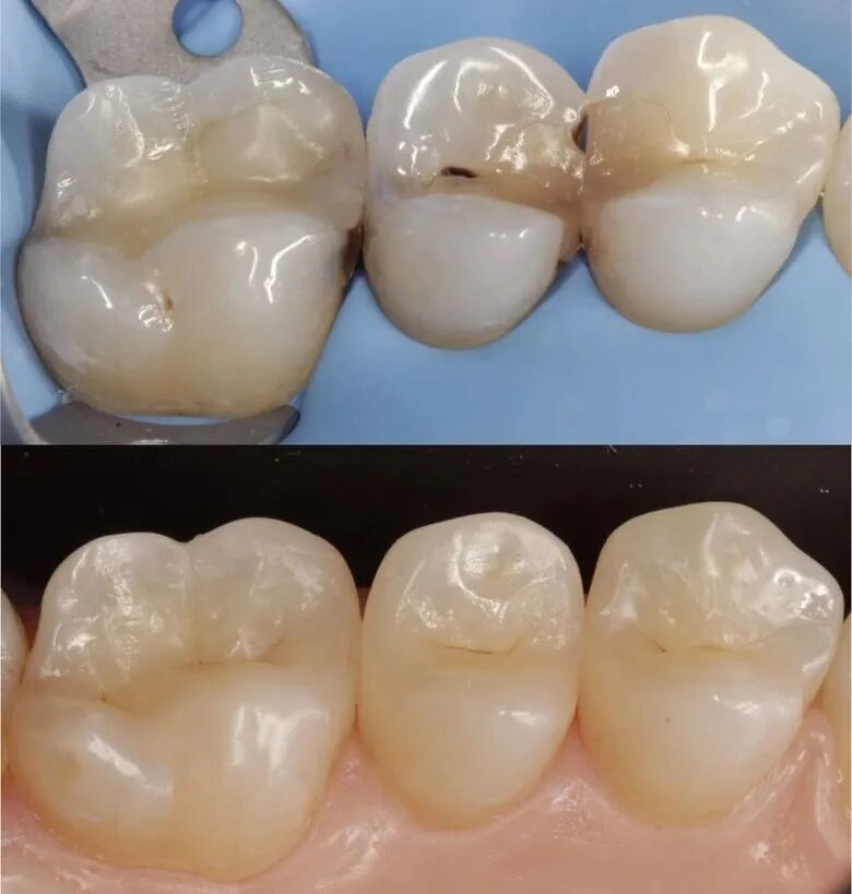
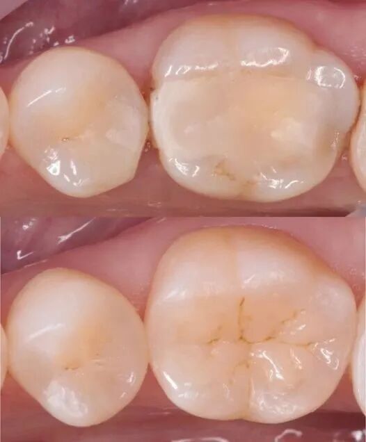
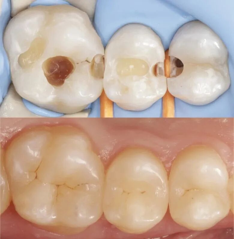
细致的牙医会把窝沟纹理做的特别漂亮

牙医不仅是技术,更是精雕细琢的艺术

漂亮

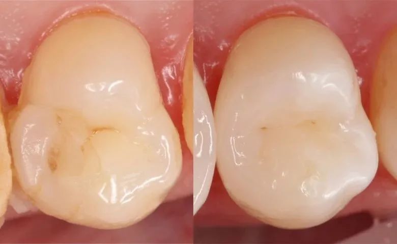
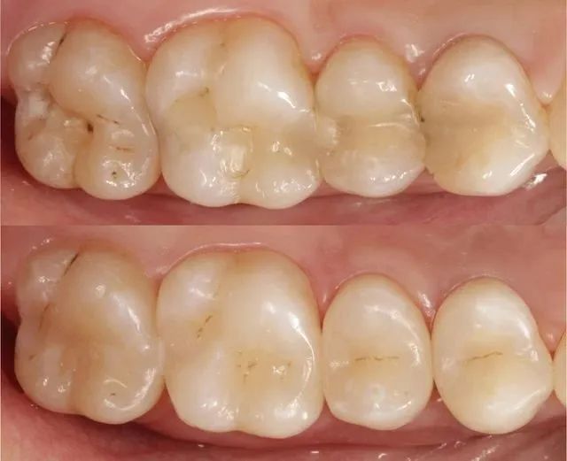
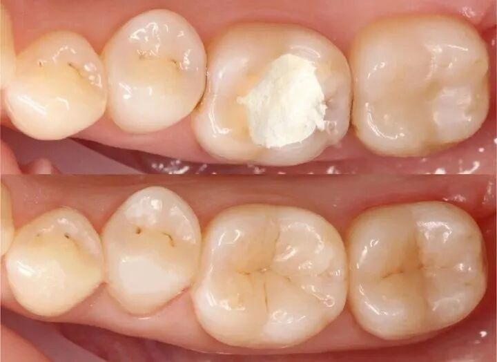
看完这些,知道同样是补牙,为啥差别这么大了吧

补的好的牙齿,多用几年钱不就省出来了吗

好的补牙不仅仅是美观

给你清没清干净很重要

咬合是不是无异物感很重要

粘结的是不是牢固很重要


消毒是不是到位无交叉感染很重要


用的材料是否健康安全无毒很重要

密封性好不好很重要




部分图片来源于网络,仅供让大家了解补牙更多知识,侵权请联系删除
临沂铂菲克口腔提醒您:补牙不是把牙洞堵上就行了,补不好会容易发生渗漏、 继发龋、咬合异常等问题,一定要去正规的口腔机构。
铂菲克口腔44年历史,补牙有什么优势吗?
1、防脱落,更耐用:引进国际牙科粘结技术和分层填充技术,粘结更牢固
2、似真牙,更美观:铂菲克前牙美学修复技术不仅仅考虑牙齿的形态和颜色,还要考虑红白美学即牙龈的美学,包括牙龈的形态。
3、天然牙,更健康:坚持尽可能“不磨牙,不抽牙神经,不拔牙”的爱齿理念,最大化保障牙体健康。
4、规范化,更安全:
22步器械消毒 ,11道诊室消毒 , 6步精妙补牙流程,让补牙更安全更规范。